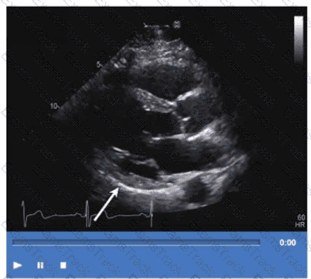
Which wall is indicated by the arrow on this video?

|
PDF + Testing Engine
|
|---|
|
$57.75 |
|
Testing Engine
|
|---|
|
$43.75 |
|
PDF (Q&A)
|
|---|
|
$36.75 |
ARDMS Free Exams |
|---|
|