Which is most likely the culprit coronary artery in a patient who presents with anteroseptal hypokinesis?
Which Doppler signal is most consistent with significant aortic valve regurgitation?
How must the sonographer angle the transducer from the apical four-chamber view in order to visualize the aortic valve in the apical five-chamber view?
Which finding is NOT associated with severe mitral valve regurgitation?
Which adjustment is most likely to improve image quality from the suprasternal long axis window?
Which parameter is necessary to calculate a 2D left atrial volume index?
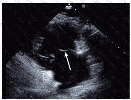
Which anatomic structure is represented by the arrow on this image?

Which coronary artery territory is associated with the wall motion abnormality demonstrated in this video?

Mid to distal septal akinesis in post-stress imaging of the apical four-chamber view is suggestive of disease in which coronary artery?
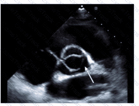
Which structure is indicated by the arrow on this image of a normal valve?

|
PDF + Testing Engine
|
|---|
|
$57.75 |
|
Testing Engine
|
|---|
|
$43.75 |
|
PDF (Q&A)
|
|---|
|
$36.75 |
ARDMS Free Exams |
|---|
|