Which finding is most commonly associated with Ebstein anomaly?
Which region of the aorta is being measured to assess the critical finding in this image?

Which vessel is indicated by the arrow on this video?

Which step is next in further evaluation of the abnormality shown in this video?

Which type of rendering is primarily utilized with three-dimensional echocardiography?
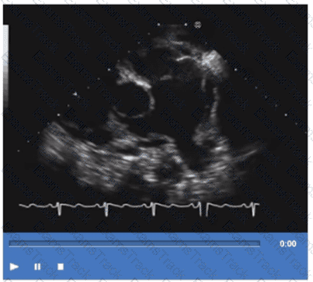
Which finding is demonstrated in this video?

Which finding occurs initially as the seventy of aortic stenosis progresses?
A patient presents in the emergency room with a history of chronic high Wood pressure and new onset severe back pain. A physical exam reveals a new diastolic murmur. Which would be the most likely finding?
Which patient body positioning and respiration technique is optimal for obtaining the subcostal view?
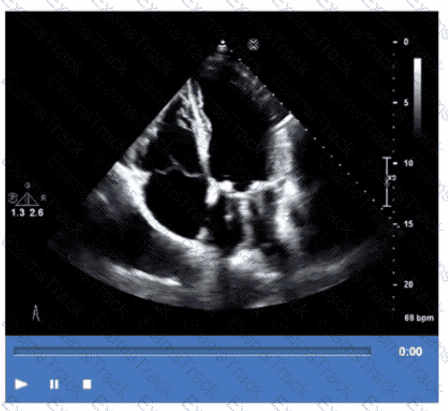
Based on this video, what is the estimated right atrial pressure in millimeters of mercury (mmHg)?

|
PDF + Testing Engine
|
|---|
|
$57.75 |
|
Testing Engine
|
|---|
|
$43.75 |
|
PDF (Q&A)
|
|---|
|
$36.75 |
ARDMS Free Exams |
|---|
|